What does follicular lesion of undetermined significance mean?
Rachel Hickman
Published Mar 20, 2026
What does follicular lesion of undetermined significance mean?
Atypical thyroid biopsy (atypia of undetermined significance or follicular lesion of undetermined significance, AUS/FLUS): this happens when there are some abnormal/atypical cells in the biopsy sample but not enough to diagnose a cancer.
What is follicular cells in thyroid biopsy?
Benign follicular nodule is a term pathologists use to describe a group of non-cancerous conditions in the thyroid gland. This diagnosis is usually made after a procedure called a fine-needle aspiration or FNA. All the conditions in this group are made up of cells that look similar when examined under the microscope.
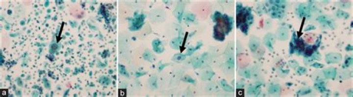
What are atypical follicular cells?
“Atypical cells, rule out a follicular neoplasm,” had cells that were arranged in a mixed macro and micro follicular pattern, with minimal to no cytologic atypia. “Atypia, NOS,” was a heterogeneous group of cases that typically had rare cells with atypia, making further classification difficult.
What are benign follicular cells?
Benign follicular adenomas. The word follicular means the cells look like a group of small circles under a microscope. If the follicular cells are contained within the nodule, the condition is called benign. If the cells have invaded the surrounding tissue, the diagnosis is cancer.
How accurate is a thyroid biopsy?
Fine-needle aspiration biopsy (FNAB) is an efficient and reliable means for the evaluation of thyroid nodules, and it has been shown to have a diagnostic sensitivity of 89% to 98% and a specificity of 92%.
What does atypia of undetermined significance Bethesda Category 3 mean?
The “atypia of undetermined significance/follicular lesion of undetermined significance” (AUS/FLUS) category, known as Bethesda Category III, has been ascribed a malignancy risk of 5-15%, but the probability of malignancy in AUS/FLUS specimens remains unclear.
What percentage of thyroid follicular neoplasms are benign?
The diagnosis “follicular neoplasm” is indeterminate, and the majority of cases (70% in the current study) are benign. However, clinical features, including gender, nodule size, and age, can be a part of the decision analysis in selecting patients for surgery.
Are follicular cells cancerous?
Follicular thyroid carcinoma (FTC) is the second most common cancer of the thyroid, after papillary carcinoma. Follicular and papillary thyroid cancers are considered to be differentiated thyroid cancers; together they make up 95% of thyroid cancer cases.
What is atypia undetermined significance?
The most controversial category in this scheme is “atypia of undetermined significance” (AUS) or, alternatively, “follicular lesion of undetermined significance.” This indeterminate diagnostic category is intended to represent a low-risk category for malignancy for which a repeated FNA would be the appropriate …
Why would a thyroid biopsy be inconclusive?
An inconclusive diagnosis is one for which there is no certainty about the nature of your nodule; it could be either benign or malignant. This means that it is not possible to determine the nature of your lump. Either the FNA has to be repeated or the possibility of surgery should be discussed with your doctor.
What percentage of thyroid biopsies that are malignant?
Table 2
| FNA diagnosis | Male (N=964) | Female (N=3,017) |
|---|---|---|
| Diagnostic | 92.0% (887) | 94.0% (2,835) |
| Benign | 83.2% | 88.9% |
| Indeterminate | 10.2% | 6.3% |
| Malignant | 6.7% | 4.8% |
Can atypical cells be benign?
Atypical hyperplasia is a non cancerous (benign) condition. It’s when the cells in the breast increase in number and also develop an unusual shape.